Smiles We’ve Created At Espire
Denver Tech Center (DTC) & Greenwood Village
Transform Your Smile, Transform Your Life
Browse through real before-and-afters, hear from patients who’ve gained newfound confidence, and get inspired by their journeys. Ready to start your own smile transformation?

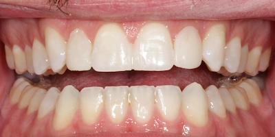
Before

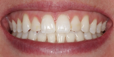
After


Before

After


Before

After


Before

After


Before

After


Wendy

Shannon

Sabrina

Justin

Cherylene

Shelby

Molly

Brian

Jovahn

Danielle

Jackie